
小分子OLED制造工藝
OLED 制備過程中的關鍵技術
1、ITO基片的清洗和預處理
2、陰極隔離柱制備
3、有機功能薄膜和金屬電極的制備
4、彩色化技術
5、封裝技術


一、基片的清洗和預處理
OLED對ITO的要求
表面潔凈;表面平整;功函數較高。
有機層與ITO之間界面對發光性能的影響至關重要,ITO玻璃在使用前必須仔細清洗,目的是除去表面上物理附著的污物和化學附著的有機物等。
污染物通常分為四類:
有形顆粒,如塵埃;
有機物質,如油脂和涂料;
無機物質,如堿、鹽和銹斑;
微生物機體
清除基片表面污染物的方法:
化學清洗法、超生波清洗法、真空烘烤法及離子轟擊法
ITO基板清洗:
化學清洗法
清洗劑:乙醇、丙酮、氯仿、四氯化碳等。
作用:去除油、潤滑脂、脂肪及其它有機污染物。
超聲波清洗
作用:去除不溶性污物。
真空烘烤法
方法:在真空室(真空度為10-4Pa)中,將基片加熱至200℃。
作用:去除基片表面吸附的氣體和雜質。
超聲波清洗法
超聲波清洗是利用超聲波技術,使水和溶劑發生振動,清洗表面復雜的附著物而且不損傷基片的一種清洗方法。目前,超聲波清洗廣泛應用于OLED器件制作的前清洗工藝當中。
超聲波的基本原理是空化作用:存在于液體內的微氣泡(空化核)在聲場的作用下振動,在聲壓達到一定值時,氣泡迅速增大然后突然閉合,在氣泡閉合時產生激波,在其周圍產生上千個大氣壓,破壞不溶性污染物而使它們分散于溶液中,使表面得以凈化。
一般超聲波清洗所使用的頻率為15~50KHz(例如28KHz、38KHz),適合于基板附著有機物的清洗。采用高頻率(1MHz以上)的超聲波清洗主要是為了清洗亞微米(0.1μm)以下的污染物。
原理:
由超聲波發生器發出的高頻振蕩信號,通過換能器轉換成高頻機械振蕩而傳播到介質,使液體流動而產生數以萬計的微小氣泡,存在于液體中的微小氣泡(空化氣泡)在聲場的作用下振動,當聲壓達到一定值時,氣泡迅速增長,然后突然閉合,在氣泡閉合時產生沖擊波,在其周圍產生上千個大氣壓力,破壞不溶性污物而使它們分散于清洗液中,當粒子被油污裹著而粘附在清洗件表面時,油被乳化,固體粒子即脫離,從而達到清洗件表面凈化的目的
紫外光清洗法
紫外光(UV)清洗的工作原理是利用紫外光對有機物質所起的光敏氧化作用以達到清洗粘附在物體表面上的有機化合物的目的。
紫外光清洗一方面能夠避免由于使用有機溶劑造成的污染,同時能夠將清洗過程縮短。在實際應用中,通常是利用一種能產生兩種波長紫外光的低壓水銀燈(這種紫外光燈能夠產生波長為254nm和波長為185nm的紫外光 )。

ITO表面處理工藝
目的:
ITO的不均勻性將導致有機層不均勻,從而易形成局部強電場引起OLED中黑斑的產生。平整的ITO表面場強均勻,減小短路的危險,提高OLED的穩定性。早在1987年,鄧青云就指出,在沉積有機層之前,ITO表面必須進行仔細的清洗,否則不能得到穩定的OLED器件。

ITO 基片處理 ITO For OLED
ITO膜表面形態對OLED器件的性能
粗糙的ITO膜表面將使光線產生漫反射,減小出射光效率,降低OLED的外量子效率。
OLED加電壓時,粗糙表面會影響OLED的內電場分布。ITO表面的尖峰將導致局部高電場,高電場將使激子解離成為正負載流子,致使發光強度降低;而且高電場將加速有機材料的惡化,以至降低OLED的穩定性。
ITO膜是有機物膜進行淀積的基底, ITO膜的表面形態將影響有機膜的成膜的吸附性、內應力和結晶度。由于粗糙的表面將不利于有機分子之間內聚形成晶體,因而粗糙的表面易于形成不定形結構的有機物薄膜。對于不定形結構的有機物來說,結晶有機物的出現將增加電子與晶格碰撞的可能性,這將降低OLED器件的發光效率和能量效率。
常用的ITO薄膜表面預處理方法:
化學方法(酸堿處理)和物理方法(O2等離子體處理、惰性氣體濺射)
酸堿處理
固體表面的結構和組成都與內部不同,處于表面的原子或離子表現為配位上的不飽和性,這是由于形成固體表面時被切斷的化學鍵造成的。
正是由于這一原因,固體表面極易吸附外來原子,使表面產生污染。因環境空氣中存在大量水份,所以水是固體表面最常見的污染物。
由于金屬氧化物表面被切斷的化學鍵為離子鍵或強極性鍵,易與極性很強的水分子結合,因此,絕大多數金屬氧化物的清潔表面,都是被水吸附污染了的。
在多數情況下,水在金屬氧化物表面最終解離吸附生成OH-及H+,其吸附中心分別為表面金屬離子以及氧離子。
根據酸堿理論,M+是酸中心,O-是堿中心,此時水解離吸附是在一對酸堿中心進行的。
在對ITO表面的水進行解離之后,再使用酸堿處理ITO金屬氧化物表面時,酸中的H+、堿中的OH-分別被堿中心和酸中心吸附,形成一層偶極層,因而改變了ITO表面的功函數。
等離子體處理
等離子體的作用通常是改變表面粗糙度和提高功函數。研究發現,等離子作用對表面粗糙度的影響不大,只能使ITO的均方根粗糙度從1.8nm降到1.6nm,但對功函數的影響卻較大。
用等離子體處理提高功函數的方法也不盡相同。氧等離子處理是通過補充ITO表面的氧空位來提高表面氧含量的。
二、陰極隔離柱技術
為了實現無源矩陣OLED的高分辨率和彩色化,更好地解決陰極模板分辨率低和器件成品率低等問題,人們在研究中引入了陰極隔離柱結構。即在器件制備中不使用金屬模板,而是在蒸鍍有機薄膜和金屬陰極之前,在基板上制作絕緣的間壁,最終實現將器件的不同像素隔開,實現像素陣列。

在隔離柱制備中,廣泛采用了絕緣的無機材料(如氮化硅,碳化硅、氧化硅)、有機聚合物材料(如PI、聚四氟乙烯等)和光刻膠等材料。
隔離柱的形狀是隔離效果關鍵,絕緣緩沖層來解決同一像素間的短路問題,同時使用倒立梯形的隔離柱來解決相鄰像素間的短路問題。

隔離柱的基本制作方法
1、在透明基片上旋涂第一層光敏有機絕緣材料,厚度為0.5~5μm,一般為光敏型PI、前烘后曝光,曝光圖形為網狀結構或條狀結構,線條的寬度由顯示分辨率即像素之間間隔決定,顯影后線寬為10~50μm,然后進行后烘。
2、在有機絕緣材料上旋涂第二層光敏型有機絕緣材料,膜厚為0.5~5μm ,一般為光刻后線條橫截面能形成上大下小倒梯形形狀的光刻膠中的一種,一般為負型光刻膠,前烘后對第二層有機絕緣體材料進行曝光,曝光圖形為直線條,顯影后的線寬為5~45μm。
三、有機薄膜或金屬電極的制備
小分子OLED器件通常采用真空蒸鍍法制備有機薄膜和金屬電極
有機薄膜的制備工藝步驟:

小分子OLED器件通常采用真空蒸鍍法制備有機薄膜和金屬電極,其具體操作過程是在真空中加熱蒸發容器中待形成薄膜的原材料,使其原子或分子從表面氣化逸出,形成蒸汽流,入射到固體襯底或基片的表面形成固態薄膜。
該過程如果真空度太低,有機分子將與大量空氣分子碰撞,使膜層受到嚴重污染,甚至被氧化燒毀;此條件下沉積的金屬往往沒有光澤,表面粗糙,得不到均勻連續的薄膜。
有機薄膜的制備

四、彩色化技術
小分子OLED全彩色顯示技術方面,實現彩色化的方法有光色轉換法、彩色濾光薄膜法、獨立發光材料法等。
三色發光層法(獨立發光材料法)

這是最常使用的技術,就是將三種發光層排列在一起,加入不同的偏壓產生全彩的效果,此技術重點在于發光材料光色純度與效率的掌握。以小分子有機發光二極管技術而言,所面臨的重大問題就是紅色材料的純度、效率與壽命,而大分子有機發光二極管方面,則是在于紅、綠、藍三原色定位等問題
彩色OLED制造技術

白色+彩色濾光片法
此法是將三種發光層疊在一起,使紅、綠、藍混色產生白光,或是互補色產生白光。此全彩化技術最大的優點是可以直接應用液晶顯示器現有的彩色濾光片技術,但是元件發光時必須多經過一層彩色濾光片,導致亮度衰減,因此在透光率與成本上必須再深入研究。

色轉換法(光色轉換法)
就是在藍色發光層中加入能量轉移的中心,使短波長、能量較大的藍光以能量轉移方式,轉換成其他顏色的光,因此在材料的選擇與技術開發上比較容易,只須先產生一個發光效率、色純度極佳的藍光,否則經過能量轉換后,整體的發光效率會很差。

首先制備發白光或近于白光的器件,然后通過微腔共振結構的調諧,得到不同波長的單色光,然后再獲得彩色顯示。

采用堆疊結構
將采用透明電極的紅、綠、藍發光器件縱向堆疊,從而實現彩色顯示。

五、OLED的封裝技術
對水和氧極為敏感,因此封裝技術直接影響器件的穩定性和壽命。
封裝技術主要有3種技術:
金屬蓋封裝、玻璃基片封裝,薄膜封裝。
吸水材料
OLED器件對氧氣的透過率要求很嚴格。
水氣來源有兩種:
1、經由外在環境滲透進入器件內;
2、在OLED工藝中被每一層物質吸收的水汽
為了減少水汽進入組件或排除由工藝中吸附的水汽,一般最常用的物質為吸水材料,干燥劑和干燥片通過貼附在封裝玻璃基片的內側以吸附器件內部的水分。
封裝工藝流程

水氧濃度控制和封裝壓合
OLED器件封裝過程中水氧濃度要達到一定的標準,必須在水氧濃度很低的情況下完成。水氧濃度控制是通過N2循環精制設備完成的。在壓合過程中,要控制UV固化膠的高度和寬度,使封裝腔室內的壓力合適,以避免封裝后器件產生氣泡的現象。
POLED的制備工藝
旋涂法
將材料溶解在有機溶劑中,滴加在基板上,甩膠,蒸鍍電極。簡單,膜層均勻無針孔,易于大面積器件
噴涂(int-jet)
噴墨方式制作三基色象元,易于實現彩色和全色顯示工藝簡單
浸取法
印刷法



器件的封裝
器件的有機材料和金屬電極遇到水汽和氧氣發生氧化、晶化等物理化學變化,從而失效,必須封裝、環氧樹脂對器件封裝,添加分子篩吸濕等。
OLED的工作特性
發光顏色
有機和聚合物發光顏色的特點:
發光顏色覆蓋從紫外到紅外整個波段。只要改變發色團的化學結構或發色團上取代基種類和位置,就可實施顏色調控;
色純差,有機和聚合物的吸收光譜和發射光譜一般都是寬帶光譜,譜峰的半高寬度大約在100~200nm之間,這是有機分子的振動能級與電子能級互相疊加的結果。相對于無機發光材料,色純度要差的多;
形成基激復合物和發生能量轉移。
OLED器件的效率
內量子效率:激子復合產生的光子數 / 注入的的電子空穴對數
外量子效率:射出器件的光子數 / 注入的的電子空穴對數
從OLED的工作過程可以得到其外量子效率可以表示為

影響OLED發光效率的主要因素:
取決于電荷的平衡注入,為提高OLED的量子效率,由陽極注入有機發光體的空穴數應和陰極注入的電子數相等。
載流子遷移率。載流子從注入到復合有一個沿電場方向的遷移擴散過程,為了提高形成激子的效率 ,正負載流子的遷移率都應該較大,并且兩者相差較小。
激子輻射衰減效率。有機發光材料的ph可以達到80%~100%,而聚合物發光材料的ph一般在達到20%左右。
單態激子形成概率。在通常情況下,電子被空穴束縛,每產生一個單重態激子同時產生3個三重態激子,因此即使注入到器件的電子全部被空穴束縛,且全部的單態激子均輻射產生光子,25%將是OLED的極限量子效率。由于三重態激子的躍遷受量子自旋守恒定律的限制,不能發光,75%的激子白白被熱耗掉。
能量轉移。當兩種發色團并存時一種發色團的激發態可以將能量傳遞給另一種發色團使之激發。對于前一種激子,這是“淬滅”;對于后一種發色團,這是額外的激發,因而使發光效率大幅度提高。
提高發光效率的措施:
1、選擇合適電極和有機層材料,提高載流子注入效率和均衡程度。
2、采用薄膜結構和載流子傳輸層提高兩種載流子的遷移率,并且使兩者相差較小。
3、改善器件的界面特性,提高器件的量子效率。
4、利用能量轉移提高發光效率。
5、開發三線態電致發光材料。
壽命和失效機制
測量元件壽命的方法,是在元件維持一恒定電流的條件下,測量從初始亮度下降至一半亮度的時間。
對壽命進行比較的最佳參量是亮度和半亮度壽命的乘積。據報道,該量值對使用壽命最長的器件是:綠光為7000000 hr·cd/m2;藍光為300000 hr·cd/m2;紅橙色為1600000 hr·cd/m2。
OLEDs失效的表現形式:
1、恒定電流工作條件下,亮度、效率逐漸下降。
2、OLEDs在一定濕度、溫度的大氣環境中存放一定時間,發光亮度、效率衰減直至發光消失。這一過程體現出的是OLEDs的存貯壽命。
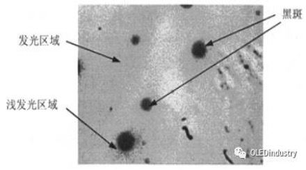
3、不管是存貯,還是工作,所有失效的OLED都出現大量的不發光區域——黑斑。

OLED失效機制
短路現象
由于有機薄膜不均勻致密,從而有貫穿有機層的微型導電通道形成。
黑斑的形成
1、熱效應——有機薄層的熱不穩定性導致了黑點的形成;
2、有機聚合物材料的化學不穩定性——有機分子易受到氧和水的侵蝕,喪失發光能力;
3、金屬陰極的不穩定性——金屬陰極被氧化;
4、金屬陰極有機層界面處化學反應——水、氧和鋁三者所發生的電化學反應會釋放出微量氣體,造成金屬陰極從有機層剝離開來。
雜質的影響
雜質是捕獲載流子和激子非輻射衰減(生熱)的中心,又可以引起內部電場的局部畸變,因而是器件老化和蛻變得重要原因。

元件的衰變
有機材料元件衰變可分為三種:
1、熱衰變。Tg可以作為其熱穩定性的依據。Tg低的材料在室溫下容易結晶。
2、光化學衰變。有些有機材料,在光照射下不穩定,發生了光化學反應。
3、界面的不穩定。OLED器件中有三種界面:ITO/有機層;有機層/有機層;金屬/有機層。有些有機材料在其它有機材料或無機材料上的粘附性能很差。
無機材料元件衰變可分為兩種:
1、 ITO的表面污染。器件中的ITO表面必須沒有有機雜質。表面遺留物會導致工作電壓升高,效率和使用壽命降低。
2、陰極的腐蝕。陰極腐蝕是最常見的導致器件衰變的原因。如果封裝得不好器件就會出現被氧化的黑點。
3、壽命和失效機制
解決OLED器件的壽命和穩定性問題的調控環節
ITO薄膜質量和清洗方法的控制
1、 ITO玻璃的選擇
陽極界面漏電流和器件串繞等現象與ITO薄膜的質量密切相關,直接影響器件的壽命和穩定性,必須嚴格控制ITO薄膜的質量。其中有ITO薄膜的平整度,結晶性,擇優取向特性,晶粒大小,晶界特性,表層碳和氧含量以及能級大小等。
2、ITO輔助電極的制備
當制備商分辨顯示屏時,ITO線條過細,需要加入金屬輔助電極,加入金屬輔助電極可以使電阻降低,易于進行驅動電路的連接,發光區均勻性和穩定性提高。
在制備輔助電極時,要考慮方阻大小、光透過率、界面結合特性、圖案刻蝕特性等。
3、ITO的清洗工藝
ITO表面的污染物直接影響器件的效率,壽命和穩定性。ITO刻蝕溶液的PH值,清洗和烘干的時間和溫度,UV清洗和等離子體清洗的參數等工藝要進行系統的優化。
隔離柱制備條件
隔離柱制備過程中光刻膠、清洗液、漂洗條件、烘干溫度和時間等對ITO和器件壽命影H向較大,優化隔離柱制備條件是提高器件產品的穩定性和壽命的關鍵。
穩定性OLED材料的選擇
目前氣溫度較低的空穴傳輸材料是一個關鍵因素。電子傳輸材料的電子遷移率較低造成了無效復合,這些都直接和間接地影響了器件的壽命。摻雜材料的選擇可以有效提高器件的效率和壽命。
器件結構的優化
器件各層材料的能級匹配、各層厚度、速率的控制、摻雜濃度的控制,特別是陰極材料LiF厚度和速率的精確控制和優化等工作必須系統地進行優化。
封裝條件的優化
1、蒸鍍等環境溫濕度和潔凈度的控制。
2、預封裝多層膜的制備。試驗結果表明,有機無機多層膜預封裟結構器件老化黑點較少,穩定性和壽命得到了提高。
3、封裝干燥劑。加入封裝干燥劑有兩種方法:
①在封裝玻璃上蒸鍍Ca0和Ba0干燥劑薄膜;
②在封裝玻璃上粘貼Ca0和Ba0干燥劑。
這兩種方法對提高器件的壽命和穩定性是非常有效的。
4、封裝膠及其封裝方法和封裝氣氛的選擇。封裝膠和UV封裝能量和溫度時間直接影響器件的壽命和穩定性,因此必須對封裝膠和封裝條件進行優化。氮氣、氬氣等不同封裝氣氛對器件的壽命和穩定性有較大的影響。目前封裝技術是控制器件壽命和穩定性的關鍵。
連接條件
連接處的均勻性和接觸電阻的大小影響器件發光均勻性和器件壽命,優化連接材料,加熱溫度和連接時間等條件對提高器件的穩定性和壽命是有益的。
驅動電路
無源器件的串繞,反向電流和尖脈沖等現象嚴重影響器件的穩定性和壽命,研究脈沖寬度、占空比、反向電流、抑制電壓、電路功耗和屏功耗,恒壓方法和恒流方法等對壽命的影響,優化驅動電路是提高器件壽命和穩定性的方法之一。